Opsoclonus-Ataxia Syndrome in a Patient With Small-Cell...
The clinical pattern and reversibility bring the present case close to a few patients with paraneoplastic opsoclonus-myoclonus-ataxia syndrome OMAS described before the ICI era.
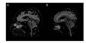
A 52-year-old man was admitted because of subacute-onset vertigo, dysarthria, vomiting, and weight loss. He was under atezolizumab (anti–PD-L1) monotherapy (23 cycles) for metastatic small-cell lung cancer, with excellent response.



